2121·Ç·²

OAÈë¿Ú
±¨¸æµ¥ÅÌÎÊ
ÔÚÏ߿ͷþ
2121·Ç·²¡¤(ÖйúÓÎ)ÌåÓý¹Ù·½ÍøÕ¾
ÐÂÎÅÖÐÐÄ
News Center
´ó²®¿©Ñª¶àÄêÕÒ²»µ½Ôµ¹ÊÔ­ÓÉ£¬£¬£¬ £¬£¬ £¬¾¹ÊÇÍÃ×Ó¶´ÀïµÄÓÐÊýÕæ¾ú½øÁ˷Σ¿£¿ £¿£¿£¿
Ðû²¼£º2023/03/07


63ËêµÄһλÕã½­´ó²®£¬£¬£¬ £¬£¬ £¬

ÍËÐÝǰ´ÓÊÂÆ¤²Ý¼Ó¹¤Ïà¹ØÊÂÇ飬£¬£¬ £¬£¬ £¬

±»²»Ã÷Ôµ¹ÊÔ­ÓɵĿ©ÑªÕÛÄ¥¶àÄ꣬£¬£¬ £¬£¬ £¬

Õ⼸ÄêËûշת¸÷´óÒ½ÔºÇóÒ½£¬£¬£¬ £¬£¬ £¬

Ö¢×´²»µ«Î´ÄÜ»º½â£¬£¬£¬ £¬£¬ £¬

·´µ¹Óú·¢ÑÏÖØ¡­¡­


×îÖÕ£¬£¬£¬ £¬£¬ £¬ÔÚÕã½­´óѧҽѧԺÁ¥ÊôµÚÒ»Ò½ÔººôÎüÓëÖØÖ¢Ò½Ñ§¿ÆÖÜ»ªÖ÷ÈÎÓë2121·Ç·²²Î¹É¹«Ë¾µÏÆ×Õï¶ÏµÄͨÁ¦ºÏ×÷Ï£¬£¬£¬ £¬£¬ £¬ÃÕÌâ±»½â¿ª¡£¡£¡£¡£¡£¡£¡£¡£


Ô­À´£¬£¬£¬ £¬£¬ £¬´ó²®Ñ¬È¾ÁËÒ»ÖÖûÓÐÖÐÎÄÃû³ÆµÄÓÐÊýÕæ¾ú¡ª¡ªArthroderma¡£¡£¡£¡£¡£¡£¡£¡£ËüÊôÓÚÆ¤·ôÑ¢¾úÖÐ×î¶àÑù»¯µÄÊô£¬£¬£¬ £¬£¬ £¬×îÔçÓÚ1963Äê±»·¢Ã÷£¬£¬£¬ £¬£¬ £¬²¢´ÓÍö´»òÍÃëµÄÍÁÈÀÖÐÊèÉ¢³öÀ´¡£¡£¡£¡£¡£¡£¡£¡£

΢ÐÅͼƬ_20230309164214.jpg


¿ËÈÕ£¬£¬£¬ £¬£¬ £¬µÏÆ×Õï¶ÏÓëÕã½­´óѧҽѧԺÁ¥ÊôµÚÒ»Ò½ÔººôÎüÓëÖØÖ¢Ò½Ñ§¿ÆÖÜ»ªÖ÷ÈκÏ×÷£¬£¬£¬ £¬£¬ £¬½«ÄÉÃ׿ײâÐòÊÖÒÕÓ¦ÓÃÓÚÓÐÊýÕæ¾úµÄÈ«»ùÒò²âÐòÓë½ø»¯ÆÊÎöÑо¿Ð§¹û, ÔÚÏß½ÒÏþÓÚInternational Journal of Infectious Diseases¡¶¹ú¼ÊѬȾ²¡Ñ§¡·ÔÓÖ¾(IF£º12.074)¡£¡£¡£¡£¡£¡£¡£¡£ÕâÊǵÚÒ»ÀýÓÉArthroderma multifidum£¨¼ò³ÆA. multifidum£©ÒýÆðµÄÂýÐԷβ¿Õæ¾úѬȾÈËÀàµÄ²¡Àý¡£¡£¡£¡£¡£¡£¡£¡£



ÖÎÇ·ºÃµÄ½áºË²¡£¡£¡£¡£¡£¡£¡£¡£¿£¿ £¿£¿£¿

×ÅʵÊÇÕæ¾úѬȾ


Õâλ´ó²®´Ó2015ÄêÆð£¬£¬£¬ £¬£¬ £¬¾Í±»¿©Ñª²øÉÏÁË¡£¡£¡£¡£¡£¡£¡£¡£Ëû»¹Ã»À´µÃ¼°ºÃºÃÏíÊÜÍËÐÝÉúÑÄ£¬£¬£¬ £¬£¬ £¬¾Í×îÏÈÁËÓ벡ħÂþ³¤µÄÀ­³¶¡£¡£¡£¡£¡£¡£¡£¡£ËûÒÔΪÊÇ×Ô¼ºÄêÇáʱµÃ¹ý·Î½áºËÂäϵIJ¡¸ù£¬£¬£¬ £¬£¬ £¬Ê¼ÖÕÎÞ·¨¸ùÖΡ£¡£¡£¡£¡£¡£¡£¡£


µ½ÁË2019Ä꣬£¬£¬ £¬£¬ £¬Ëû¿ÈѪµÄÖ¢×´Ô½À´Ô½ÑÏÖØ£¬£¬£¬ £¬£¬ £¬Õ·×ª¶à¼ÒÒ½ÔººóÏòÕã½­´óѧҽѧԺÁ¥ÊôµÚÒ»Ò½ÔººôÎüÓëÖØÖ¢Ò½Ñ§¿ÆÖÜ»ªÖ÷ÈÎÇóÖú¡£¡£¡£¡£¡£¡£¡£¡£

΢ÐÅͼƬ_20230309164317.jpg

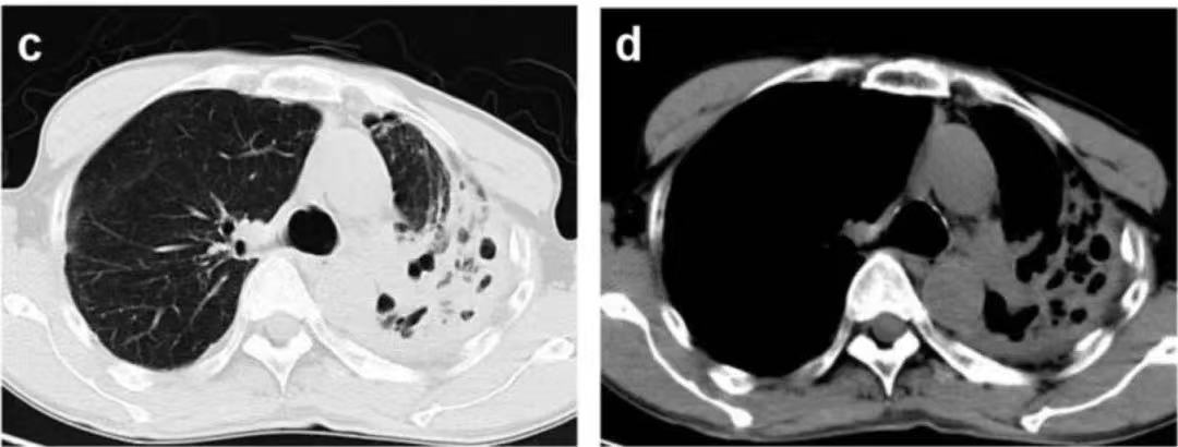
ÐØ²¿CTÏÔʾ×ó·ÎÉÏÒ¶ÓÐÂýÐÔѬȾºÍÊÜËð²¡Ôî


¡°·Î²¿CT¿´ÆðÀ´²»ÏñÊǷνáºË¡£¡£¡£¡£¡£¡£¡£¡£ÎÒÃÇÖØ¸´ÁôÁËÐí¶à´Î̵ͿƬ¶¼Ã»ÓÐÕÒµ½½áºË¸Ë¾ú£¬£¬£¬ £¬£¬ £¬ÈôÊÇÊǽáºË·ÖÖ¦¸Ë¾ú»ò·ÎÇúù¾ú£¬£¬£¬ £¬£¬ £¬²»Ó¦ÔÆÔÆ·´Öظ´¸´¡¢¿ØÖƲ»×¡£¡£¡£¡£¡£¡£¡£¡£¡¡±ÖÜ»ªÖ÷ÈÎÌåÏÖ¡£¡£¡£¡£¡£¡£¡£¡£Æ¾Ö¤¸»ºñµÄÁÙ´²ÂÄÀú£¬£¬£¬ £¬£¬ £¬Ëû³éÈ¡ÁËÖ§Æø¹Ü·ÎÅݹàÏ´Òº(BALF£©ËÍÍùÁÙ´²Î¢ÉúÎïÊÒ×÷Óý¡£¡£¡£¡£¡£¡£¡£¡£


¾­ÓÉ×÷Óý·¢Ã÷£¬£¬£¬ £¬£¬ £¬ÕæÐ×·ºÆðÁË¡ª¡ªÊÇÒ»ÖÖǰËùδ¼ûµÄ˿״ù¾ú£¡

΢ÐÅͼƬ_20230309164320.jpg

¾úÖêÔÚ35¡æµÄÂíÁåÊíÆÏÌÑÌÇÇíÖ¬×÷Óý»ùÉÏ(PDA)ÑÕÉ«×î³õΪ°×É«£¬£¬£¬ £¬£¬ £¬Ò»ÖܺóÖð½¥±äΪ»ÆÉ«¡£¡£¡£¡£¡£¡£¡£¡£¾úÂä³Ê·Û×´»ò¿ÅÁ£×´ £¬£¬£¬ £¬£¬ £¬±âƽ»ò·ÅÉä×´°¼²Û(¼ûÉÏͼa)¡£¡£¡£¡£¡£¡£¡£¡£·ÖÉúæß×Ó³ÊÀæÐΣ¬£¬£¬ £¬£¬ £¬½üÇòÐλòÍÖÔ²ÐΣ¬£¬£¬ £¬£¬ £¬Å¼¼û1~2¸ö¸ôĤ¡£¡£¡£¡£¡£¡£¡£¡£·ÖÉúæß×Ó¾ÞϸԼΪ3¦Ìm¡£¡£¡£¡£¡£¡£¡£¡£


ÈéËá·ÓÃÞÀ¶È¾É«ºó£¬£¬£¬ £¬£¬ £¬¿É¼ûÔ²ÐλòÀæÐηÖÉúæß×ÓÓë͸Ã÷¸ô¾úË¿³ÉÖ±½Ç¸½×Å(¼ûÉÏͼb)¡£¡£¡£¡£¡£¡£¡£¡£



È«»ùÒò×é²âÐòÆÆ½âÃÕÌâ


µÏÆ×Õï¶ÏÄÉÃ׿׵¥·Ö×Ó²âÐòƽ̨¶Ô¸ÃÕæ¾ú¾ÙÐÐÁËÈ«»ùÒò×é²âÐò£¬£¬£¬ £¬£¬ £¬ÐòÁо­Õæ¾úÊý¾Ý¿â±È¶Ô£¬£¬£¬ £¬£¬ £¬Ö¤Êµ¸Ã¾úÖêΪA. multifidum¡£¡£¡£¡£¡£¡£¡£¡£¸Ã¾úÖê±»ÃüÃûΪÕã½­2016 A. multifidum¡£¡£¡£¡£¡£¡£¡£¡£


ArthrodermaÊÇÆ¤·ôÑ¢¾úÖÐ×î¶àÑù»¯µÄÊô£¬£¬£¬ £¬£¬ £¬×îÔçÓÚ1963Äê±»·¢Ã÷£¬£¬£¬ £¬£¬ £¬²¢´ÓÍö´»òÍÃëµÄÍÁÈÀÖÐÊèÉ¢³öÀ´¡£¡£¡£¡£¡£¡£¡£¡£


΢ÐÅͼƬ_20230309164324.jpg

»ùÓÚÄÉÃ׿׵¥·Ö×Ó²âÐòƽ̨¶ÔÕã½­2016 A. multifidumµÄÈ«»ùÒòÐòö¾ÙÐвⶨÆÊÎö¡£¡£¡£¡£¡£¡£¡£¡£Ð§¹ûÏÔʾ£¬£¬£¬ £¬£¬ £¬A. multifidumÈ«»ùÒò×é¾ÞϸΪ23.22Mb(N50=2.50Mb)£¬£¬£¬ £¬£¬ £¬ÓÉ23¸öcontigs×é³É(¼ûϱí)¡£¡£¡£¡£¡£¡£¡£¡£È«»ùÒò×éÖÐGCº¬Á¿Õ¼±È50.18%¡£¡£¡£¡£¡£¡£¡£¡£BLAST±È¶ÔÆÊÎöÏÔʾ£¬£¬£¬ £¬£¬ £¬´ËÐòÁÐÓëNCBI½ÒÏþµÄA. multifidumµÄ18S¡¢ITS1¡¢5.8S¡¢ITS2ºÍ28S»ùÒòµÄÆ¥Åä¶ÈµÖ´ï99.82%¡£¡£¡£¡£¡£¡£¡£¡£


΢ÐÅͼƬ_20230309164327.jpg

A. multifidumϵͳ½ø»¯Ê÷

±ðµÄ£¬£¬£¬ £¬£¬ £¬±¾Ñо¿»¹¾ÙÐÐÁË»ùÒòÕ¹Íû¡¢ÆðÔ´¹¦Ð§×¢ÊͺÍϵͳ·¢ÓýÆÊÎö¡£¡£¡£¡£¡£¡£¡£¡£Ð§¹ûÏÔʾ£¬£¬£¬ £¬£¬ £¬±¾Ñо¿ÒÑÀֳɶÔ6653¸ö»ùÒò¾ÙÐÐÕ¹Íû£¬£¬£¬ £¬£¬ £¬¶ÔCOGÊý¾Ý¿âÖÐÆ¥ÅäµÄ5287¸ö»ùÒò¾ÙÐй¦Ð§·ÖÀ࣬£¬£¬ £¬£¬ £¬·ÖÊôÓÚ25¸öÖֱ𡣡£¡£¡£¡£¡£¡£¡£½ÓÄÉGO×¢ÊÍ·¨¶ÔÕã½­2016 A. multifidumµÄÕ¹Íû»ùÒò¾ÙÐÐͬԴÐòÁÐÆÊÎö¡£¡£¡£¡£¡£¡£¡£¡£Æ¾Ö¤Í¬Ô´ÐÔˮƽ£¬£¬£¬ £¬£¬ £¬3314¸ö»ùÒò±»·ÖΪ3¸öÄ£¿£¿ £¿£¿£¿é(ÉúÎïÀú³Ì¡¢Ï¸°ûÒòËØºÍ·Ö×Ó¹¦Ð§)¡£¡£¡£¡£¡£¡£¡£¡£¶øÓëKEGGÊý¾Ý¿âµÄÐòÁбȶÔÔòÏÔʾÁË402Ìõͨ·£¬£¬£¬ £¬£¬ £¬Éæ¼°3732¸ö»ùÒò£¬£¬£¬ £¬£¬ £¬²¢¶ÔÕã½­2016 A. multifidum Öê¿ÉÄܱ¬·¢µÄDZÔÚÉúÎïѧ;¾¶¾ÙÐиÅÊö¡£¡£¡£¡£¡£¡£¡£¡£

¾­ÓÉÖÎÁÆ£¬£¬£¬ £¬£¬ £¬´ó²®µÄÖ¢×´ÏÔ×Å»º½â£¬£¬£¬ £¬£¬ £¬²¢ÔÚÖ®ºóΪÆÚ2ÄêÁã9¸öÔµÄËæ·ÃÖÐûÓи´·¢¡£¡£¡£¡£¡£¡£¡£¡£


ÄÉÃ׿׵¥·Ö×Ó²âÐò

ΪÁÙ´²¾«×¼ÕïÁÆÌá¹©ÖØ´ó¼ÛÖµ


±¾Ñо¿Àֳɷ¢Ã÷µÚÒ»ÀýÓÉA. multifidumÒýÆðµÄÈËÀà·Î²¿ÂýÐÔѬȾ²¡Àý£¬£¬£¬ £¬£¬ £¬Åú×¢¸ÃÕæ¾ú¿ÉÒýÆðÈËÐó¹²»¼Ñ¬È¾£¬£¬£¬ £¬£¬ £¬ÇÒÊ״λùÓÚÄÉÃ׿׵¥·Ö×Ó²âÐòƽ̨Íê³ÉÁׯÃÕæ¾úµÄÈ«»ùÒò×é²âÐòºÍϵͳ½ø»¯ÆÊÎö¡£¡£¡£¡£¡£¡£¡£¡£Ñо¿Ò²³ä·Ö֤ʵ£¬£¬£¬ £¬£¬ £¬ÄÉÃ׿ײâÐòÊÖÒÕÒòÆä³¤¶Á³¤¡¢PCR freeµÄÊÖÒÕÓÅÊÆÔÚδ֪/ÓÐÊýÕæ¾úµÄ¼ì²â·½Ã棬£¬£¬ £¬£¬ £¬ÄÜ×î´óÏ޶ȱ£´æÔ­Ê¼ÐòÁеı£Õæ¶È£¬£¬£¬ £¬£¬ £¬¿É×÷Ϊδ֪/ÓÐÊý²¡Ô­Ìå·¢Ã÷µÄÓÐÁ¦¹¤¾ß¡£¡£¡£¡£¡£¡£¡£¡£


»ú»áÐÔÕæ¾úѬȾµÄ¼±¾çÔöÌíÒ²¶Ô¿ìËÙ¡¢×¼È·µÄÁÙ´²Õï¶ÏÒªÁìÌá³ö¸ü¸ßÐèÇ󡣡£¡£¡£¡£¡£¡£¡£µÏÆ×Õï¶Ï»ùÓÚÄÉÃ׿׵¥·Ö×Ó²âÐòÊÖÒÕÒÑ¿ª·¢µÏÆ×ÄÉ?²¡Ô­ºê»ùÒò×é²âÐò¡¢µÏÆ×¿×?²¡Ô­¶àÖØ°ÐÏò²âÐò¡¢µÏÆ×¿×?16S rDNAÈ«³¤²âÐòµÈ¶àÏîÍâµØ»¯½â¾ö¼Æ»®£¬£¬£¬ £¬£¬ £¬¿ìËÙ¡¢×¼È·¡¢¸ßЧµØÅбðѬȾ²¡Ô­ÌåµÄͬʱ£¬£¬£¬ £¬£¬ £¬Ò²ÎªÁÙ´²¾«×¼Ñ¡ÔñÒ©ÎïÌṩ²Î¿¼ÒÀ¾Ý¡£¡£¡£¡£¡£¡£¡£¡£




Õæ¾úϲ»¶²øÉÏÄÄЩÈË£¿£¿ £¿£¿£¿


1

ѪҺ²¡»ò¶ñÐÔÖ×Áö»¯Áƺó°×ϸ°ûµÍÏµĻ¼Õߣ»£» £»£»£» £»

2

»¼ÓÐÀà·çʪÐÔÊàŦÑס¢ÌÇÄò²¡»ò¶àÖÖ¼²²¡µ¼ÖÂÃâÒß¹¦Ð§µÍϵÄÈË£»£» £»£»£» £»

3

Ò»¾­ºã¾ÃʹÓùãЧ¿¹ÉúËØµÄÈË£»£» £»£»£» £»

4

³Â¸¯ÐԷνáºË»òÆäËûÔµ¹ÊÔ­Óɵ¼Ö·β¿½á¹¹¸Ä±ä¡¢·Î¹¦Ð§µÍϵÄÈË£»£» £»£»£» £»

5

ÖÖÖÖÔµ¹ÊÔ­ÓÉ̻¶ÔÚ¸»º¬Õæ¾úæß×ÓÇéÐÎÏ£¨¸¯°ÜÖ²Î͸·ç²»Á¼¡¢¿ÕÆøÊªÈó¡¢ÐÞ½¨Îï²ð½¨¹¤µØµÈ£©£¬£¬£¬ £¬£¬ £¬ÇÒ²»´÷¿ÚÕÖ¾ÙÐзÀ»¤µÄÈË¡£¡£¡£¡£¡£¡£¡£¡£



ÍøÕ¾µØÍ¼